-
十指紧扣 求美者所在城市: 江西 宜春
0人关注了TA -
彤草莓妞 求美者所在城市: 江苏 苏州
0人关注了TA -
柠萌伴夏 求美者所在城市: 重庆 重庆
0人关注了TA -
光辉的律动 求美者所在城市: 重庆 重庆
0人关注了TA -
情深梦碎 求美者所在城市: 福建 龙岩
0人关注了TA -
清都山水郎 求美者所在城市: 安徽 合肥
0人关注了TA -
专属的幸福 求美者所在城市: 西藏 日喀则
0人关注了TA -
回首恨伊人 求美者所在城市: 浙江 嘉兴
0人关注了TA -
采菇凉的尛蘑菇 求美者所在城市: 湖南 娄底
0人关注了TA -
压抑的爱着你 求美者所在城市: 上海 上海
0人关注了TA
+关注
-
提及美容,大家的第一反应是脸部,或者手部、颈部,然而在日常生活中,很少有人主动想到给牙齿“美容”。许多人走进口腔诊室不仅仅是为了更好地实现牙齿的咀嚼功能,而是考虑如何修复才
508
5
2 -
因为经常吃槟榔、喝咖啡的原因,导致我的牙齿很黄,很影响形象,为了让牙齿变白,交了不少智商税,特别是那些号称能美白的药膏,一点用都没有,而且还死贵。 后来又听说洗牙可以让牙齿变白,结果我做完之后
299
5
9 -
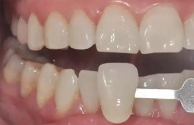
牙齿好看让人增加不少的自信,在别人面前敢大方的露出牙,所以很多人都会选择去做牙齿方面的修整。 牙齿美容 牙齿美容就是在牙齿健康的基础上用较小的代价来改变牙齿的形态和颜色,让牙齿看上去更美观
514
5
4
浏览量TOP10
-
10
-
10
-
10
-
10
-
10
-
10
-
10
-
10
-
10
-
10
热议TOP10
-
10
-
10
-
10
-
10
-
10
-
10
-
10
-
10
-
10
-
10
|