-
字字都珍贵 求美者所在城市: 内蒙古 呼和浩特
0人关注了TA -
风都不自由 求美者所在城市: 北京 北京
0人关注了TA -
画圈圈 求美者所在城市: 辽宁 大连
0人关注了TA -
分享拥抱 求美者所在城市: 湖南 长沙
0人关注了TA -
转素 求美者所在城市: 湖南 常德
0人关注了TA -
爱情终是残念 求美者所在城市: 河南 周口
0人关注了TA -
米兰的夏天 求美者所在城市: 吉林 长春
0人关注了TA -
演獨角戏 求美者所在城市: 吉林 白城
0人关注了TA -
乱世魔女 求美者所在城市: 湖北 武汉
0人关注了TA -
青灯古寺 求美者所在城市: 云南 昆明
0人关注了TA
+关注
-
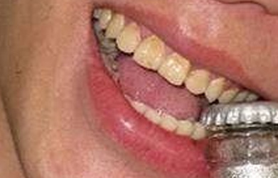
不要以为,做了烤瓷牙就一劳永逸了,尤其是早些年做了烤瓷牙的朋友,因为当时材料大多是镍铬合金和钴铬合金的金属内冠,再加上技术可能不太完善,在使用的过程中出现了一些问题。当你的烤瓷牙出现以下一系列问题
633
5
4 -
许多人担心烤瓷牙是否会对身体造成伤害。本文将详细介绍烤瓷牙的组成、制作过程及其对身体的影响。 烤瓷牙是由瓷质材料制成的人工牙齿,其与天然牙齿的质地和颜色非常相似,因此可以为牙齿修复提供效果。
462
1
0 -
如今我们越来越注重牙齿健康,一口整齐洁白的牙齿无不透露着干净及自信,对整个人的形象气质都有着极大的提升,因此有牙齿缺损情况的人们会选择做烤瓷牙来解决。 烤瓷牙会不会很疼 要明确一点的是做烤
454
5
3
浏览量TOP10
-
10
-
10
-
10
-
10
-
10
-
10
-
10
-
10
-
10
-
10
热议TOP10
-
10
-
10
-
10
-
10
-
10
-
10
-
10
-
10
-
10
-
10
|