-
263
1
3 2024-07-17 14:22:43 -
231
0
0
2024-07-02 10:37:33 -
249
0
0
2024-05-26 15:24:48 -
2024-05-22 10:15:38
-
2024-05-20 17:45:36
-
2024-05-20 10:57:56
-
206
0
0
2024-05-04 16:47:12 -
2024-05-03 10:55:30
-
2024-05-02 13:47:25
+关注
-
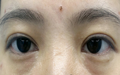
眼袋能有多显老?大概就是明明只有25岁,却被二十几岁的小伙子叫成了阿姨!还有同样是二十几岁,闺蜜没有眼袋被说是大学生,有眼袋的自己却误认为已婚已育;没眼袋的同事被说每天精神面貌好,有眼袋的自己被说
263
1
0 -
有一首歌是这么唱的:难以忘记、初次见你,一双迷人的眼睛……的确,一双漂亮的眼睛,真的能让人增色不少! 可是,不管你实际年龄多小,只要眼周爬满细纹、黑眼圈,特别是挂上
365
3
2 -
眼袋是影响容貌的存在,多好看的人都顶不住眼袋的影响,眼袋出现一下子会老十岁,那么眼袋怎么祛除呢? 眼袋可以通过按摩来祛除? 首先要看你的眼袋属于哪种类型的眼袋,如果是水肿型的眼袋,因为休息
319
5
4
浏览量TOP10
-
0
-
0
-
0
-
0
-
0
-
0
-
0
-
0
-
0
-
0
热议TOP10
-
0
-
0
-
0
-
0
-
0
-
0
-
0
-
0
-
0
-
0
|