-
322
0
0
2024-04-12 11:45:30 -
337
0
0
2024-03-13 15:08:05 -
2024-03-12 11:28:02
-
295
0
0
2024-02-14 10:24:33 -
264
0
0
2024-02-10 10:53:15 -
2024-01-09 15:16:51
-
2023-12-23 16:07:13
-
2023-12-20 17:26:31
+关注
-
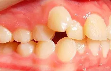
牙齿矫正这事儿,近年来越来越常见。不仅许多明星都在牙齿上狠下功夫。其中,牙齿矫正就是很多人的选择。牙齿矫正,在医学上称为正畸,是一种针对错颌畸形的治疗手段。正畸后牙齿看着整齐美观,牙齿的排列和咬合
367
6
3 -
现在有很多人天生牙齿就不整齐,这会给人拥有留下不好的印象,严重影响到了自身的形象,于是就会选择通过牙齿矫正手术来改正,让你恢复整齐牙齿,恢复自信微笑。 牙齿矫正的意义是什么? 1、美学价值
488
5
2 -
其实,现在有很多人都想要自己牙齿整齐一点,因为大部分觉得,牙齿整齐,对于外貌有帮助。但大家不知道的是,正畸后牙齿不仅看着整齐美观、颜值提升,更能提早预防牙周病的发生。 正畸能改变什么? 一
430
5
4
浏览量TOP10
-
0
-
0
-
0
-
0
-
0
-
0
-
0
-
0
-
0
-
0
热议TOP10
-
0
-
0
-
0
-
0
-
0
-
0
-
0
-
0
-
0
-
0
|