-
2023-05-15 10:53:22
+关注
-
衰老是不可避免的,每个人以不同的速度衰老,而很明显的标志是皮肤松垂和皱纹。无论胖瘦,只要进入30岁就会开始担忧面部松垂的问题...皮肤老化是一种无法对抗的自然现象,今天小编就带大家了解下。 面
621
1
1 -
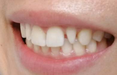
对于牙齿的问题,已经慢慢的被大家所重视了。其中,缺牙和牙齿不齐的问题,是现在大部分人都比较关注的。但是,大家不知道的是,很多人都会同时出现这两个问题。那么,这两个问题同时出现的时候,要如何选择呢?
368
4
3 -
随着年龄的增长,许多人发现即使体重和五官保持不变,面部颜值似乎仍在下降。特别是脸型,常常会不知不觉中横向扩展。这种变化如果不及时处理,会变得越来越明显。这其实就是我们通常所说的“发腮&
433
4
2
浏览量TOP10
-
0
-
0
-
0
-
0
-
0
-
0
-
0
-
0
-
0
-
0
|
热议TOP10